Kæbekræft/Kræft i munden hos katte (Siden er under bearbejdelse – årsager, symptomer, behandling )
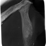
Nedenfor ses røntgenbilleder af en 14 årig hunkat, Shana Mio – En Rødmasket Colorpoint med kæbekræft/Kræft i munden. Hun døde 14 dage efter, at kræften blev opdaget – så hurtig kan kræft udvikle sig hos katte.
-
Seneste indlæg
Tags
7 tænder fjernet adfærd antibiotika hjalp ikke berolige katten bevidst og ubevidst spinden Bowenoid In Situ Carcinoma dement er katte klogere end hunde er katte social intelligente fjernet alle tænderne forgiftning førstehjælp til katte hjernen hos katte Hudkræft hos katte intelligens er menneskeskabt irriterende morgenspind kat Katte katteadfærd katte er rovdyr Katte lyder som barnegråd katte lærer selv at spinde klagespind giver mad kræft hos katte kræft i munden mange smerter Multiple Squamous Cell Carcinoma In Situ (SCC) nervøse påskeliljer er giftige for katte rødt tandkød spinder spinder lige inden de dør spindet går lige i hjernen stadig tydelige smerter særlige små væsner Tandproblemer troede Tulle var kræsen tryghed Tulle i dobbeltsengen Tulle vækker os igen ubehagelige og stressede situationer ubehageligt og insisterende spind videnskabelige facts ville ikke spise voldsomt vægttab



