TANDRESOPRTIONER (TR) HOS KAT
Tandresorptioner (Tooth Resorptions) er en fælles betegnelse for nogle af kattens sygdomme i munden: Katte-karries, FORL, Neck-Lesions m.fl.
TR er en meget smertefuld sygdom/lidelse.
Siden 2007 har dyrlægerne valgt at kalde sygdommen Tooth Resorptions (TR) fordi, det er en bredere og mere generel betegnelse for de sygdomme, der er nævnt ovenfor.
Hvad er årsagen til Tandresorptioner (TR)?
Sygsommen TR er meget udbredt hos katte, og selv om, at sygdommen er meget velundersøgt, så ved man ikke helt, hvorfor katte udvikler TR.
Noget tyder på, at de katte, der har udviklet TR i nogle af tænderne, også har tendens til at udvikle TR i resten af tænderne.
Undersøgelser viser også, at der er noget der tyder på, at for meget D-vitamin i foderet kan være med til at udvikle TR.
Man kan derfor ikke pege på en enkelt forklaring eller faktor, hvorfor katte udvikler TR. I følge undersøgelserne, så er det halvdelen af alle katte, der lider af sygdommen TR.
Hvad er symptomerne på TR?
Da katte meget sjældent viser symptomer på tandpine og smerter kan de gå med den smertefulde sygdom i flere år uden at man som ejer bemærker, at der er noget galt med sin kat.
Man kan inddele symptomerne i: Synlige symptomer og Ingen symptomer:
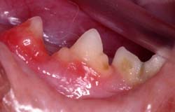
Synlige symptomer på TR:
- Synlige symptomer på TR ses som regel ved tandkødskanten, hvor tandkødet er blevet mere rødt og evt. er vokset lidt op over kanten.
Finder man mere end en tand med synlige TR vil der være risiko for, at flere tænder er angrebet.
Ingen symptomer på TR:
- Selvom, der ingen synlige symptomer er på TR kan katten godt have TR alligevel. Som der tidligere er blevet beskrevet, så viser katte ikke tegn på smerter – tværtimod de kan gå i flere år med kraftige smerter i mund og tænder. De vil hellere gemme sig og skjule deres problemer.
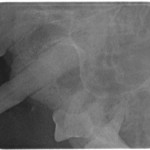
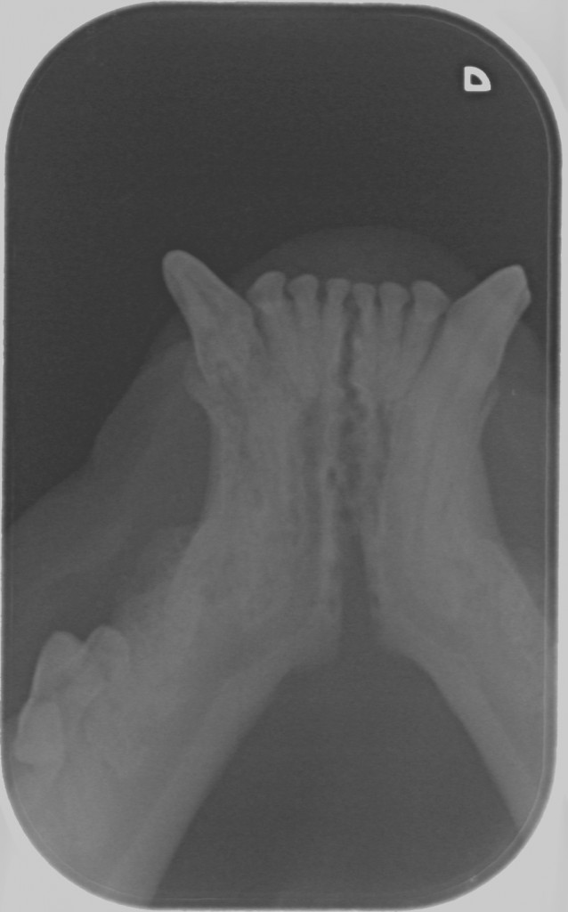
Billeder af katte med Tooth Resorption (TR/FORL):
Nedenfor kan du se videoer, der forklarer om tandsygdommen TR/FORL hos katte, der også viser symptomerne på sygdommen:
Hvilke behandlingsmuligheder findes der?
Tidligere har dyrlægerne forsøgt at behandle de tænder, der var angrebet med TR, men uden succes. I dag er den eneste anbefalede behandling at trække tænder med TR ud.
Tænder med TR skal trækkes ud. Men alligvel er det nødvendigt at tage tandrøntgen af alle tænderne for at se om der er andre tænder, der er angrebet af TR.
I visse tilfælde har dyrlæger trukket alle tænderne ud af munden på katten. Katte kan sagtens klare sig uden tænder, fordi gummerne er faste, og derfor kan katten sagtens tygge maden (tørkost) med gummerne uden problemer.
Hvad kan du selv gøre for at forebygge TR hos din kat?
Det eneste man som katteejere kan gøre er at få sin kat undersøgt for TR mindst en gang årligt i forbindelse med det årlige tjek hos dyrlægen. Din dyrlæge kan henvise til speciallæger, der foretager tandrøntgen, men du kan også selv henvende dig til en specialdyrlæge, der foretager tandrøntgen af katte.
Hvis du vil have en dybere forklaring på TR og de sygdomme, der hører ind under fællesbetegnelsen for TR, så læs artiklen: Tandresorptioner (TR) hos kat af Jan Ruhnau.
Du kan også læse Når tandpine giver angstanfald – historien om katten Tulle, der fik trukket alle sine tænder ud, og som blev rask.
På Dyretandspecialist kan du læse mere om sygdommen Tooth Resorption (TR/FORL) hos katte. Her kan du både se røntgenbilleder og billeder af tandsygdommens stadier, samt se symptomerne på sygdommen, så du ved, hvad du skal være opmærksom på hos din kat.
Egen erfaring med Shana-Mio, der havde udviklet TR/FORL:
Shana-Mio, vores Rødmasket Colourpoint, fik i 2008 konstateret TR/FORL. Da hun samtidig havde udviklet anorexi spiste hun næsten ingen mad. Derfor prøvede vi alle mulige løsninger – vådkost og knuste hendes tørkost.
Vådkost kunne hun ikke lide, uanset hvilken variant vi tilbød hende. Og tørkost havde hun meget besvær med at spise, så vi forsøgte at knuse de store tørkostpiller, men det ville hun ikke spise. I stedet forsøgte hun at spise dem, der ikke var knust – og dem tabte hun ud af munden hele tiden. Vi prøvede også med tørkost, hvor tørkostpillerne var mindre, men da Shana-Mio var meget kræsen, lykkedes det heller ikke.
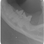
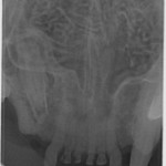
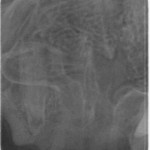
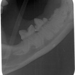
Nedenfor kan du se de 8 røntgenbilleder af Shana-Mio´s tænder, som specialtanddyrlægen tog af hendes tænder i 2008, da hun fik konstateret TR/FORL:
Mad gennem en 10 ml. engangssprøjte
Mad skulle Shana-Mio jo have, for ellers ville hun dø af sult. Derfor fyldte vi en 10 ml. engangssprøjte og gav hende mad på denne måde. Hun skulle have omkring 6-10 sprøjter pr. gang – morgen og aften. Det var også den måde vi kunne give hendes hjertemedicin på ved at knuse pillen, og blande den i vådkosten, som kom ned i sprøjten.
Den ene af os holdt Shana-Mio på armen og med forsigtighed kunne den anden give hende mad gennem sprøjten. Jeg ved godt, at man med et snuptag kunne give hende pillen i munden, men da Shana-Mio havde mange smerter i munden og i tænderne ville vi ikke provokere området yderligere. Derfor valgte vi – udelukkende af hensyn til Shana-Mio – at gøre det på denne måde. En måske lidt mere besværlig måde.
Nedenfor kan du se en video, hvor en dyrlæge forklarer, hvordan man kan give sin kat medicin:















