kattensliv
En anderledes hjemmeside om katte
Hop til indhold
Forside
Nyheder
Kattesygdomme
Kattesygdomme: A-E
Kattesygdomme: F-J
Kattesygdomme: K-O
Kattesygdomme: P-T
Kattesygdomme: U-AA
Katteadfærd
Lav selv til katte
Nyttige links
Kontakt
«
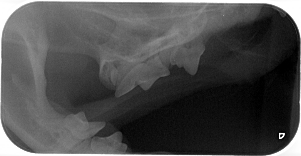
Kattesygdomme: P-T
www.kattensliv.dk_Sygdomme hos katte fra P-T_Tænder_Mundproblemer_Shana-Mio_6
af
Toni
|
Udgivet
maj 26, 2013
|
Fuld størrelse er
1024 × 531
pixel
«
www.kattensliv.dk_Sygdomme hos katte fra P-T_Tænder_Mundproblemer_Shana-Mio_5
www.kattensliv.dk_Sygdomme hos katte fra P-T_Tænder_Mundproblemer_Shana-Mio_7
»
Bogmærk
permalink
.
Lukket for kommentarer.