kattensliv
En anderledes hjemmeside om katte
Hop til indhold
Forside
Nyheder
Kattesygdomme
Kattesygdomme: A-E
Kattesygdomme: F-J
Kattesygdomme: K-O
Kattesygdomme: P-T
Kattesygdomme: U-AA
Katteadfærd
Lav selv til katte
Nyttige links
Kontakt
«
Kattesygdomme: K-O
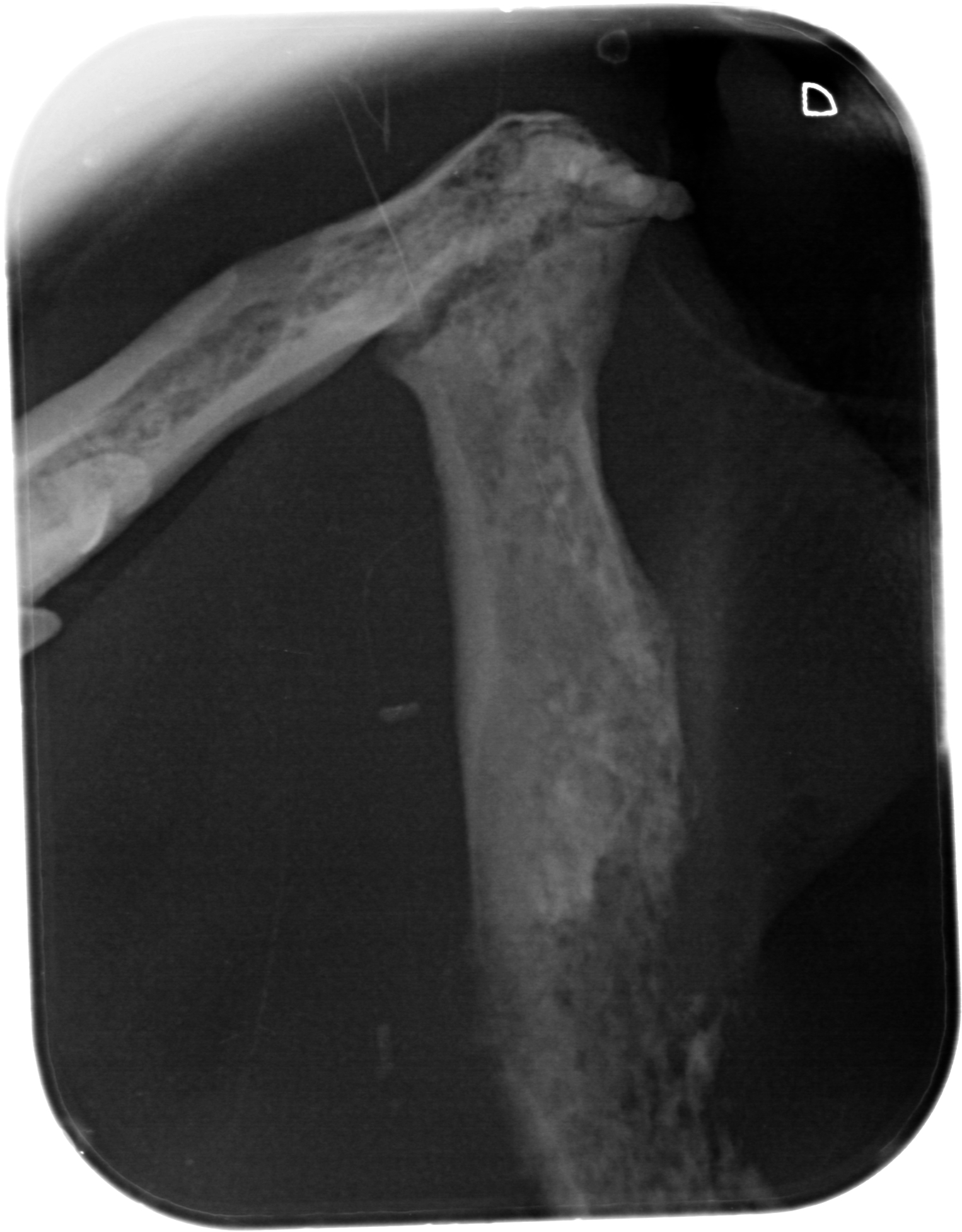
Kæbekræft hos Shana-Mio, 4, 24. januar 2013
af
Toni
|
Udgivet
marts 19, 2013
|
Fuld størrelse er
1526 × 1953
pixel
«
Kæbekræft hos Shana-Mio, 3, 24. januar 2013
www.kattensliv.dk_Kat_med_eksem_Sygdomme hos Katte
»
Bogmærk
permalink
.
Lukket for kommentarer.